
Fin de vie chez AQUADOCTEUR :
Le Dr. Jérôme Blanc avait été appelé pour un koï qui présentait des blessures d’écailles, des troubles du comportement, et une anorexie de longue durée. Il s’agissait d’un animal de plus de 12 ans, faisant plus de 6kg.
A l’examen clinique une dilatation sévère de l’abdomen a été relevée, probablement à l’origine des lésions cutanées (par compression cutanée entrainant des œdème sous les écailles).
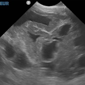
Le problème était donc bien plus grave que ce qui avait été envisagé en premier lieu. Une échographie a été réalisée avec l’aide notre confrère vétérinaire exerçant exclusivement en imagerie de « Vet&View », ce qui nous a permis d’obtenir des images de qualité permettant de poser un diagnostic de qualité : la présence de diverses masses polykystiques affectant spécifiquement le foie et une gonade.
Étant donné l’étendue de l’anomalie et un probable phénomène métastatique, la décision d’euthanasie a été prise par le propriétaire. Une décision difficile pour tout le monde, pour ce bel animal qui est resté calme et curieux pendant toute l’intervention. Merci à son propriétaire qui lui a donné toutes ses chances, et permis de partir sans souffrances.
L’autopsie a confirmé les suspicions, et permis de valider l’hypothèse : une tumeur gonadique localisée, qui a métastasé dans tout l’abdomen, notamment dans le foie. Ce type de tumeur est opérable tant que la tumeur est localisée, mais une fois métastasée, il est impossible d’intervenir.
L’euthanasie est parfois la seule option acceptable, bien que ce soit toujours une décision difficile, elle reste plus accessible à la lumière d’un diagnostic de qualité.





