
Exemple de téléconseil pour une masse à la gorge (une histoire d’iode ?):
Sollicitation par un groupe éleveur amateur de cichlidés pour avis sur un symptôme inquiétant affectant un ou plusieurs individus (Petrochromis sp. adulte).
« Cela ressemble vue la localisation et l’aspect, à une hyperplasie thyroidienne (eq goitre) Cela peut aussi être une tumeur, thyroidienne ou autre choses beaucoup moins probables.
Mais si plusieurs poissons sont touchés (réellement par le même phénomène) l’hypothèse de l’hyperplasie thyroïdienne est la plus probable.
Si c’est cela ce n’est pas contagieux en temps que tel, mais une propagation au sein du cheptel est possible s’ils sont tous soumis aux mêmes pressions.
Le manque d’iode est souvent mis en cause, le surplus d’iode également. Des facteurs d’empoisonnements par des substances goitrogènes peuvent l’être également. Enquête épidémiologique à réaliser.
Un individu touché à ce point ne peut généralement pas guérir de lui-même, il faut une chirurgie pour le stabiliser (réduire la masse et la gêne associée). La correction des facteurs environnementaux permet parfois de stopper le phénomène (plus de croissance de la masse), mais permet surtout d’éviter de nouveaux cas.
Dr. Jérôme Blanc »
Exemple de goitres:
Pour plus d’informations, voici un article du Dr Jérôme Blanc, paru dans « L’aquarium à la Maison »
Il arrive parfois que nos vieux poissons d’aquarium présentent des masses. Qualifiées de tumeurs, abcès,
verrues, chancres, etc., les appellations arbitraires sont variées et, souvent, la nature réelle de ces anomalies
reste inconnue. Cependant, lorsque le problème touche plusieurs individus (qui plus est, des jeunes en élevage)
et semble contagieux, la problématique prend une importance toute autre.
Le problème décrit ici implique deux espèces de Cichlidés du lac Tanganyika (Afrique Orientale) : des Cyprichromis leptosoma Kekese et des Aulonocranus dewindti chez un éleveur amateur. C’est un cas pris en charge médicalement au travers de mon métier de vétérinaire exerçant dans le domaine des poissons d’aquarium. Je souhaitais vous le partager ici comme illustration de l’intérêt que peut représenter la médecine vétérinaire dans la compréhension des observations aquariophiles et de problèmes de santé des poissons.
PRÉSENTATION DU CAS
Au sein d’un groupe de jeunes Aulonocranus dewindti âgés de quelques semaines et issus d’une même portée (ce poisson étant un incubateur buccal), plusieurs individus ont commencé à présenter un gonflement au niveau des ouïes. Progressivement deux, puis quatre, puis peu à peu la totalité des dix jeunes de cette espèce montraient des difficultés à respirer et à se nourrir. Les opercules de ces poissons étaient en permanence soulevés, bien que les signes restaient légers.
Ces poissons étaient maintenus avec cinq petits Synodontis lucipinnis et des Ancistrus sp. L’éleveur avait tout d’abord pensé à un problème de qualité d’eau et une atteinte des branchies, mais cela n’impactait pas les autres poissons. De plus, la situation semblait stable ou évoluant très lentement. Les croissances étaient néanmoins très mauvaises et les plus touchés maigrissaient, ne pouvant se nourrir correctement.
Une portée de douze petits Cyprichromis leptosoma Kekese avait par ailleurs été ajoutée à l’aquarium d’élevage. Quelques semaines plus tard, un premier jeune de cette dernière espèce commençait à présenter des signes similaires. Puis, peu à peu, la moitié d’entre eux développaient des gonflements au niveau des branchies et les mêmes difficultés. Les signes étaient plus flagrants chez cette espèce et l’évolution plus rapide. Deux semaines après l’apparition des signes, déjà deux individus devaient être mis à l’écart. Une maladie bien connue passionnés de cichlidés du lac Tanganyika est le goitre, souvent appelé à tort « tumeur thyroïdienne ». Cependant, cette atteinte touche normalement les individus plutôt âgés et ne possède pas de caractère
contagieux. Le fait que le phénomène ait atteint une autre espèce inquiétait particulièrement l’éleveur, et c’est dans ce contexte qu’une investigation vétérinaire fut demandée.

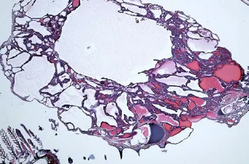
Une coupe histologique de la zone branchiale avec coloration spécifique. On reconnaît des lamelles branchiales en bas à gauche de la photo, donnant une idée de la taille de la masse qui correspond à toute la structure au centre de l’image.
HYPOTHÈSES DIAGNOSTIQUES
La première question que l’on se pose est l’origine du problème, la cause. Lorsque l’on a affaire à un cas très classique, on peut d’emblée avoir une idée. Mais cela reste toujours une hypothèse, tant que l’on ne la confronte pas à la réalité. Face à ce problème très curieux, plusieurs possibilités apparaissaient. Le goitre faisait effectivement partie des possibilités, mais la proportion de poissons touchés et leur âge étaient étonnant. De plus, on ne distinguait pas visuellement une réelle masse. Un problème branchial restait possible, par exemple une inflammation, un parasitisme, une inflammation ou un kyste. Certaines de ces hypothèses pourraient être compatibles avec l’effet contagieux apparent du phénomène. Cette caractéristique n’était néanmoins pas certaine, il était en effet possible que les poissons réagissent de manière similaire, mais progressive, à un élément déclencheur commun.
INVESTIGATIONS ET RÉSULTATS
Pour avancer sur ces hypothèses, une autopsie a été proposée. L’examen clinique sans euthanasie est extrêmement compliqué sur des individus d’environ 3 centimètres. De plus, lorsque l’on a la possibilité de pouvoir évaluer le problème globalement, on obtient toujours plus de résultats. Dans une optique de gestion d’élevage pour laquelle plusieurs générations et la sauvegarde des souches étaient en jeu, le choix a été fait d’avoir recours à une autopsie. Une autopsie complète a été réalisée, c’est-à-dire avec une évaluation de la zone branchiale mais aussi des organes internes, et des prélèvements systématiques de peau, de branchies et des organes. Aucune anomalie n’a été relevée, hormis effectivement la présence d’une masse au niveau de la gorge dans la zone où les arcs branchiaux se rejoignent. Les observations de branchies au microscope étaient normales. La masse n’a pas pu être identifiée au microscope.
Pour pouvoir identifier une masse, on utilise un outil particulier : l’analyse histologique. Le principe est simple. Il s’agit de couper l’organe très finement : de l’ordre de 5 μm. Facile à dire, mais pas à faire. Pour cela, on fixe l’organe dans de la paraffine pour le durcir et permettre de le couper précisément et sans l’abimer, avec une machine spéciale. La coupe obtenue est colorée et ne fait alors plus que l’épaisseur d’une cellule. Comme on regarde par transparence au microscope, on peut donc reconnaitre quelle cellule est présente et si son aspect est normal ; ce qui est impossible directement, lors de l’autopsie. C’est un outil irremplaçable pour investiguer des problèmes pour lesquels on a peu d’informations disponibles, comme sur nos poissons d’aquarium. Sur les individus de petite taille, il est même possible de réaliser une coupe entière du poisson et d’observer un à un tous les organes pour chercher les anomalies.
Cet examen a été proposé et réalisé à partir des prélèvements de ces individus. L’analyse a été réalisée par le Laboratoire Oniris à Nantes, avec l’aimable participation et interprétation du Dr. Labrut.
Les images obtenues sont compatibles avec une hyperplasie thyroïdienne, autrement dit : un goitre.
L’hypothèse mentionnée au départ était la bonne. Le tissu thyroïdien était anormalement développé et écartait les autres organes. Aucune autre anomalie n’a été relevée. Le phénomène n’est pas tumoral.
Les goitres sont des hyperplasies
thyroïdiennes, c’est-à-dire un développement
anormalement élevé de l’organe.
EXPLICATION DU MÉCANISME
Une fois le diagnostic posé, il faut réfléchir à la prise en charge de ce problème. Pour cela, il est important de comprendre son mécanisme et ses particularités chez le poisson. Les goitres sont des hyperplasies thyroïdiennes, c’est-à-dire un développement anormalement élevé de l’organe. Ce n’est pas une tumeur comme on peut l’entendre souvent, car les cellules sont d’aspect normal. Elles sont simplement plus nombreuses. La thyroïde est un organe qui sécrète des hormones. Elle reçoit l’ordre par l’organisme de synthétiser plus ou moins d’hormones selon les besoins. Une hyperplasie se met en place lorsque l’ordre de production d’hormones est donné de manière permanente. L’organisme donne l’alerte suite à un manque de présence des hormones, et la thyroïde se développe de manière anormale pour pouvoir y faire face. Les hormones thyroïdiennes sont synthétisées
à partir d’iode. Le métabolisme thyroïdien est donc directement lié au métabolisme de cet oligoélément vital.
Le goitre est un phénomène que l’on connaît très bien chez les mammifères, notamment les humains. Le manque
d’iode entraîne la formation de goitres. C’est pour cela, entre autre, que l’on complémente le sel de table en iode. Mais il existe d’autres phénomènes qui peuvent entraîner cette formation. L’excès d’iode, par exemple, entraîne des signes similaires. Sur des espèces dont on a peu de données, comme les Cichlidés, il est difficile de savoir si l’on s’oriente alors vers un manque ou un excès d’iode. Il existe des substances toxiques qui interviennent dans le métabolisme thyroïdien et peuvent être à l’origine de goitres.
Enfin, même si ce n’est pas le cas ici, il existe aussi des tumeurs thyroïdiennes. Leur fréquence d’apparition est beaucoup plus élevée chez un individu présentant un goitre. Mais ce sont alors des cas isolés, et plutôt présents sur des individus âgés. L’apport en iode chez les poissons comme chez les autres vertébrés provient de l’alimentation. Toutefois, une particularité des poissons est qu’ils peuvent récupérer également l’iode dissout dans l’eau.
Pour revenir à notre cas concret, l’origine de la formation de ce goitre semble liée directement à la logique d’élevage dans cet aquarium. Tous les points de maintenance ont été vérifiés et discutés avec l’éleveur, de manière à mettre en évidence un paramètre spécifique de ce lot. Ce n’était pas la première fois que des petits Cichlidés originaires du lac Tanganyika étaient élevés sur cette installation, et même dans cet aquarium. L’origine de l’eau était la même que pour les parents et toutes les autres espèces. Une implication de substances toxiques, même si elle ne peut être éliminée, était peu probable. Aucun changement récent de l’installation ne pouvait expliquer cet événement.
Concernant l’alimentation, nous avons pu identifier une particularité. En effet Les goitres sont des hyperplasies thyroïdiennes, c’est-à-dire un développement anormalement élevé de l’organe. contrairement à l’habitude, ces poissons étaient nourris depuis plusieurs semaines avec des vers grindals et des granulés de marque non déterminée. Habituellement, une transition alimentaire des nauplies d’artémias vers une alimentation de type pâtée était réalisée. Cependant, pour ce groupe-ci, la production en nauplies était insuffisante pour couvrir les besoins élevés de ces poissons déjà grands, mais qui n’acceptaient pas encore l’inerte. Les grindals en quantité offraient alors une ration quantitative et très attractive pour ces petits prédateurs timides. Ces vers étant nourris uniquement de farine, ils sont certainement carencés en iode, et ont été identifiés comme l’origine probable du problème. Les granulés donnés en complément n’étant pas de composition connue, il est impossible d’évaluer leur impact dans cette problématique.
PRISE EN CHARGE
À la lecture des données bibliographiques dont nous disposons sur ce cas spécifique de Cichlidés originaires du lac Tanganyika, et par interprétation de l’historique des poissons, l’hypothèse retenue est donc un manque d’iode en raison d’une ration alimentaire carencée. Il est possible de complémenter l’aliment en iode. Cependant, pour ce cas et dans ce contexte, la décision a été prise de modifier directement la composition de la ration. En effet, nous ne disposions pas de données chiffrées de la quantité d’iode dans l’aliment et de celle requise spécifiquement pour ces espèces et pour une correction d’un phénomène de goitre. Les poissons ont alors été nourris uniquement avec des aliments d’origine marine, naturellement plus chargés en iode. Cette ration était composée de nauplies d’artémias et de moules congelées hachées ainsi que de crevettes. C’est une ration de ce type qui est utilisée en général chez cet éleveur, et aucun problème n’avait été constaté auparavant.
Aucun autre poisson n’a montré de signes de ce type par la suite. Les générations suivantes n’ont plus posé de problèmes et ce jusqu’à l’âge adulte. Les individus très touchés ont rapidement montré des retards de croissance et plusieurs sont morts. Quelques individus de ce lot de Cyprichromis ont profité de cette correction de ration alimentaire et sont arrivés à l’âge adulte sans présenter de goitre.
UN PHÉNOMÈNE CONNU
Ce cas très intéressant est une illustration d’un phénomène connu des passionnés de Cichlidés du Tanganyika : la formation de goitres. Ces poissons y sont particulièrement
sensibles. Il est probable que les paramètres physicochimiques spécifiques de ce lac et l’alimentation dans le milieu naturel soient à l’origine de cette particularité. On ne connaît pas exactement les éléments déclencheurs de la formation de goitres. En général, ce phénomène est observé de manière très ponctuelle et isolée. Dans la réflexion au sujet de ce problème concret, il semble avoir été identifié qu’un manque d’iode était à l’origine de cette « épidémie ». Nous nourrissons souvent par défaut nos poissons d’eau douce avec des aliments d’origine marine (crevettes, mollusques, poissons…). Alors que c’est un point souvent critiqué pour des espèces d’eau douce, dans le cas des Cichlidés du lac Tanganyika. Il se peut que, sans le savoir, nous remplissions une condition indispensable au développement correct de nos protégés. Une réflexion à garder en tête dans le choix de l’alimentation de ces espèces si particulières.











